Şimdilik hâlâ, devasa bir görev olan, terapi sürecinin kafatasımızın içindeki sinirsel dokulara etkisini haritalandırmakla boğuşuyoruz Son yıllarda araştırmacılar psikoterapinin yarattığı değişimleri sinirsel bağlantılar düzeyinde anlamak için görüntüleme tekniklerini kullanmaya başlamışlardır. Bu bağlantıları anlamak sadece psikoterapiden etkilenen süreçleri tam olarak belirlemek ve dolayısıyla edindiğimiz yararlara odaklanmamıza yardım etmekle kalmayacak, aynı zamanda terapiyi tamamlayıcı farmakolojik müdahalelerin ne zaman gerekli […]
Şimdilik hâlâ, devasa bir görev olan, terapi sürecinin kafatasımızın içindeki sinirsel dokulara etkisini haritalandırmakla boğuşuyoruz
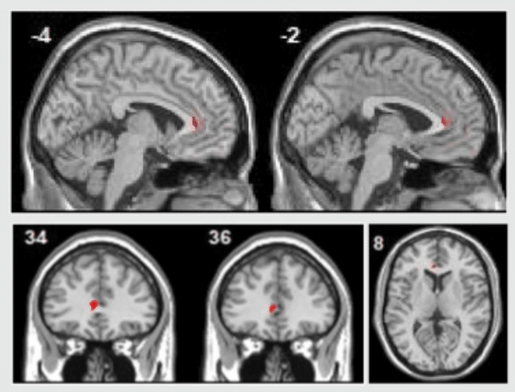
Majör depresyon hastaları psikolojik terapinin ardından sol rostral ön singulat kortekslerinde aktivite artışı göstermişlerdir. Görsel: Sankar et al, 2018
Kaynak: Research Digest
Son yıllarda araştırmacılar psikoterapinin yarattığı değişimleri sinirsel bağlantılar düzeyinde anlamak için görüntüleme tekniklerini kullanmaya başlamışlardır. Bu bağlantıları anlamak sadece psikoterapiden etkilenen süreçleri tam olarak belirlemek ve dolayısıyla edindiğimiz yararlara odaklanmamıza yardım etmekle kalmayacak, aynı zamanda terapiyi tamamlayıcı farmakolojik müdahalelerin ne zaman gerekli olacağını ve terapiyi ne zaman engelleyeceğini de gösterecektir. Şimdi ise Psychiatry Research: Neuroimaging dergisinde yayımlanan bir sistematik inceleme ve meta-analiz makalesi (Anjali Sankar et al. 2018) terapinin depresif beyin üzerindeki etkileri hakkında şu ana kadar bilinen her şeyi bir araya getirdi. Makale, beyindeki duygusal işlem bölümlerinde kilit değişiklikler gerçekleştiğini öne sürüyor.
Cynthia Fu ve Doğu Londra Üniversitesi Psikiyatri, Psikoloji ve Nörobilim Enstitüsü’nden birinci yazar Anjali Sankar’ın liderliğini yaptığı uluslararası bir ekip, beyin görüntüleme literatüründe bir araştırma yürüttü. Odaklandıkları çalışmalar özellikle psikodinamik terapi ve bilişsel davranış terapisi de dahil olmak üzere psikoterapinin çeşitli yöntemlerini takiben gerçekleşen depresyondan kurtulmanın beyinde yarattığı değişimleri açığa çıkaran çalışmalardı.
İnceledikleri 17 makale, terapi sonrası duygusal ve nötr uyaranlara bakarken amigdala aktivitesinin azalması gibi bazı tekrar eden modellere işaret ediyor. Ne var ki bazı nadir sonuçların yorumlanması daha zordu, örnek olarak bir araştırma hipokampal alanlarda daha fazla aktivite gösterirken diğeri aynı bölgelerde daha az aktivite gösterdi. Böyle yeni bir araştırma alanında, özellikle farklı laboratuvarlar farklı deney tasarımları kullanırken bu tutarsızlık beklenebilir bir sonuçtur, dolayısıyla üzerinde fazla durulmamalıdır.
Bu inceleme makalesinin en değerli kısmı ise depresif gönüllülerin psikoterapi öncesi ve sonrasında beyin tarayıcısı içinde duygusal görüntülere bakmalarını isteyen 5 çalışmanın meta-analiziydi.
Veriler gösteriyor ki bilişsel davranış terapisi sonrası majör depresyon hastalarında sol Rolando önü kıvrımı (precentral gyrus) aktivitesinde düşüş yaşanıyor. Bu alan beynin düşünme ve yansıtma süreçlerinde görev alan prefrontal korteksinde bulunuyor. Depresif bireyler, aşırı kafa yorma ve kaygılanmaya yatkınlıklarını yansıtacak şekilde, duygusal görevlerde bu alanda daha çok aktivite sergiliyorlar. Terapi sonrası prefrontal korteksteki aktivite düşüşü, terapinin yukarıda bahsedilen olumsuz bilişsel yatkınlıkları engellemekteki etkililiğine -gerçekleri olabilecek en karamsar şeyleri düşünmede başlangıç noktası olarak kullanmak yerine olduğu gibi görmek- işaret ediyor olabilir.
Bir başka bulgu bilişsel davranış terapisi ve psikodinamik terapi sonrasında hastaların sol rostral ön singulat alanlarındaki aktivite artışını gösteriyor (yukarıdaki görsele bakınız; sağlıklı kontrol gruplarının bu değişimi göstermemesi bulgunun sadece görüntü izleme görevlerindeki geçen zaman ya da pratik yapma etkisine bağlı olmadığını belirtiyor). Bu beyin bölgesi, amigdala aktivitesini baskılamak gibi etkilerle, çekirdek duygu işlemlerini gerçekleştiren bölgelerle güçlü şekilde bağlantılıdır. Daha önceki kanıtlar ön singulat ve amigdala arasındaki bağlantıların majör depresyonda daha zayıf olduğunu gösteriyor. Bu durum majör depresyon hastalarında duyguların neden daha yoğun bir şekilde hissedildiğini açıklıyor. Yani öyle gözüküyor ki psikoterapinin etkilerinden biri de bu zarar görmüş bağlantının yeniden inşası olabilir. Meta-analiz bize bu inşanın nasıl gerçekleştiğini kesin olarak gösteremese de ihtimallerden biri “bilişsel yeniden değerlendirme” gibi yöntemlerle zorlu deneyimleri yorumlamanın yeni yollarını bulmak olabilir.
Fu, Sankar ve diğer ekip arkadaşları hâlâ beyindeki değişimler ve klinik tepkiler arasındaki ilişkiden anlam çıkarmak için erken olduğunu vurguluyor, özellikle ne kadar gelişim sağlandığı açısından. Buna örnek olarak “Hayattan keyif almanın artması beynin belirli bir bölgesindeki değişimle ne kadar ilgilidir?” gibi henüz yanıt alınamayan sorular gösterilebilir. Araştırma ekibinin belirttiğine göre geçmişte yapılan bir başka çalışma (Buchheim et al. 2012) daha bu yaklaşımı takip ederek depresyon ölçeğindeki gelişim derecesinin ön singulat korteksindeki aktivite artışıyla gösterdiği korelasyonu ortaya çıkarmıştır. Bu bulgu da bahsedilen bölgenin daha fazla araştırılmaya değecek bir bölge olduğunu destekliyor.
Şimdilik hâlâ, devasa bir görev olan, terapi sürecinin kafatasımızın içindeki sinirsel dokulara etkisini haritalandırmakla boğuşuyoruz. Bu devam etmeye değer bir uğraş, Sankar ve arkadaşlarının belirtiği gibi:
“Tedavinin beyin aktivitesi üzerindeki mekanizmalarını anlamak, tanısal biyolojik işaretler geliştirme ve faydalı tedavi şekillerinde yeni hedefler belirleme potansiyeli taşıyor.”
[Research Digest‘taki İngilizce orijinalinden Arda Ateş tarafından Evrim Ağacı için çevrilmiştir.]
Sendika.Org, yayın hayatına başladığından bu yana işçi sınıfı hareketinin, solun ve genel olarak toplumsal muhalefetin gündemine ilişkin, farklı politik perspektiflerden düşünsel katkılara açık bir tartışma platformu olagelmiştir. Sitemizde yayımlanan yazılar yayın kurulunun politik perspektifiyle uyumluluk göstermeyebilir. Amacımız, mücadelenin gereksinim duyduğu bilimsel ve politik bilginin üretimini zenginleştirecek tüm katkılara, yayın ilkelerimiz çerçevesinde, olabildiğince yer verebilmektir.